ODONTOLOGIA ESTÉTICA

Imagens que revelam cada detalhe — e elevam o padrão da Odontologia Estética.

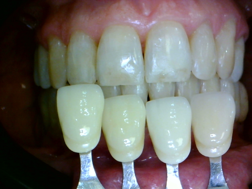
A estética é visual e a SkyCam coloca o visual em primeiro plano.

Por que a câmera intraoral é indispensável na Estética?

A Odontologia Estética exige um nível de detalhamento superior e a SkyCam entrega isso com precisão. A câmera ajuda no planejamento, na comunicação e na documentação, tornando o tratamento visualmente claro para você e para o paciente.

1
Documentação de antes e depois
2
Análise de cor, textura e translucidez
3
Avaliação de microfraturas e bordas incisais
4
Planejamento de facetas, lentes e restaurações
5
Acompanhamento do clareamento dental
6
Ajustes finos em acabamento e polimento
7
Comunicação com o laboratório para próteses e laminados

A SkyCam é essencial para:

1. Antes e depois profissional

Imagens nítidas elevam a credibilidade e encantam o paciente.

2. Análise precisa de detalhes estéticos

Veja detalhes que influenciam diretamente no resultado final:

  • textura
  • brilho
  • contorno
  • microfraturas
  • descoloração

3. Planejamento impecável de facetas e laminados

A câmera ajuda na escolha de cor e na avaliação do substrato dental.

4. Comunicação clara com o paciente

Mostre exatamente o que será corrigido e o que já melhorou.

5. Resultados mais previsíveis

Documentação visual auxilia nos ajustes e refinamentos.

6. Conteúdo profissional para redes sociais

Perfeito para clínicas estéticas que utilizam marketing visual.

Exemplos reais de uso da SkyCam na Odontologia Estética

Diferenciais da SkyCam para Estética

Macrofotografia de nível profissional

Perfeita para análise estética detalhada.

Registro impecável para redes sociais e portfólio

Transforma casos clínicos em provas visuais impressionantes.

Aumenta a percepção de valor do tratamento

O paciente vê o nível de excelência do profissional.

Melhora o planejamento com o laboratório

Imagens precisas para comunicação sobre cor, formato e textura.

Aumenta a confiança do paciente

Ele vê o problema e enxerga a solução.

Auxilia nos ajustes finais do tratamento

Visualização clara de acabamento e polimento.

Veja quem usa e recomenda a SkyCam - Depoimentos de Dentistas Estéticos

Dra. Raissa Dourado

“A SkyCam trouxe uma nova dimensão para meu trabalho. Ela é prática, fácil de usar e proporciona imagens de alta qualidade. Isso não só melhora a precisão dos meus diagnósticos, mas também torna as consultas mais eficientes.”

Dra. Natália Zago

“Uma tecnologia sem igual, equipamento único, não tem comparação. Fora que o atendimento e atenção de toda a equipe é nota 100! “

Dra. Claudia Assis

“A comunicação ficou infinitamente melhor porque o paciente consegue enxergar o que você está trazendo pra ele, o que gera uma um confiança muito malor onde ele não se sente enganado. Vale muito a pena investir na SKYCAM!”

Dr. Webber Ricci

“Desde que comecei a usar a SkyCam, meus pacientes passaram a confiar mais nas minhas recomendações. Eles podem ver as imagens claras e detalhadas dos seus próprios dentes, o que facilita a compreensão dos tratamentos necessários.”

Dr. Rodrigo Villagra

“A utilização da imagem em alta qualidade auxilia muito no dia a dia clínico, excelente ferramenta para diagnostico, auditoria e marketing.”

Dr. Renato Provenzano

“Sempre digo que é algo muito legal e necessário ao consultório, se paga no decorrer do tempo (desde quando adquiri a minha já comecei a cobrar um valor a mais pensando no modo de ela se pagar), o paciente adora e acha moderno como também gosta da transparência de mostrar o serviço que precisa ser executado, como o registro de antes e depois. Existem outras câmeras, mas não na qualidade da SKYCAM!”

Dr. Juarez Garcia

“A SkyCam mudou a forma como me comunico com meus pacientes. Com as imagens detalhadas que ela captura, posso explicar melhor as condições e os tratamentos necessários. Isso torna as consultas mais informativas e os pacientes mais satisfeitos.”

Dr. José Arbex

“Investir na SkyCam foi uma das melhores decisões para minha clínica. A qualidade das imagens impressiona os pacientes e facilita a aprovação dos tratamentos. O retorno sobre o investimento foi rápido e significativo.”

Dr. Jorge Eustáquio

“A SkyCam revolucionou meu consultório. Com ela, consigo mostrar aos meus pacientes exatamente o que vejo, o que aumenta a confiança deles nos diagnósticos. É uma ferramenta indispensável para diagnósticos precisos e precoces.”

Dr. Heitor Ferrari

“A SkyCam me permite envolver meus pacientes no processo de diagnóstico. Eles adoram ver as imagens em tempo real e entender melhor a saúde bucal deles. Isso cria um ambiente de confiança e colaboração.”

Dr. Felipe Valverde

“Com a SkyCam, consigo detectar problemas em estágios iniciais que antes passavam despercebidos. Isso significa que posso oferecer tratamentos menos invasivos e mais eficazes, melhorando os resultados e a satisfação dos pacientes.”

Dr. Anderson Bernal

“As câmeras da SKYCAM são fantásticas, modernas e de muito fácil manuseio. Odontologia preventiva é o nosso futuro, e a SKY nos dá essa possibilidade!”

A skycam é uma empresa brasileira fundada em são josé dos campos, no interior de são paulo, temos como objetivo desenvolver tecnologia no ramo odontológico, e hoje somos a maior fabricante de câmera intraoral do brasil.

Valores

A empresa valoriza a inovação através do desenvolvimento contínuo de tecnologias avançadas para a prática odontológica, enquanto se compromete com a qualidade, garantindo desempenho superior e durabilidade em seus produtos, alinhados aos mais altos padrões do setor. 

Missão

Proporcionar aos profissionais da odontologia ferramentas mais avançadas e acessíveis para melhorar a precisão diagnóstica, a eficiência do tratamento e a satisfação do paciente, através do uso de câmeras intraorais de alta qualidade e tecnologia de ponta.

Visão

Ser líder global no fornecimento de soluções inovadoras para a odontologia, transformando a experiência do diagnóstico e tratamento dentário, promovendo a saúde bucal e bem-estar dos pacientes em todo o mundo.

Chamada Final de Conversão

A estética exige precisão e excelência — e a SkyCam leva seu atendimento a outro nível.
Encante seu paciente e entregue resultados estéticos impecáveis com a tecnologia SkyCam.