IMPLANTODONTIA

Planejamento mais claro, cirurgias mais seguras e pacientes mais confiantes, com a precisão da SkyCam.

A estética é visual e a SkyCam coloca o visual em primeiro plano.

Por que a câmera intraoral transforma a Implantodontia?

A Implantodontia é uma das áreas mais técnicas da odontologia, e qualquer detalhe pode alterar o planejamento. A SkyCam permite que você visualize estruturas com nitidez, registre documentações profissionais e explique ao paciente cada etapa com mais segurança.

1
Condições pré-procedimento
2
Qualidade dos tecidos moles
3
Áreas edêntulas com clareza
4
Perda óssea visível na gengiva
5
Pós-operatório imediato e tardio
6
Cicatrização, inflamação e adaptação protética
7
Higienização insuficiente ao redor do implante

O que muda no seu atendimento com a SkyCam?

1. Planejamento cirúrgico mais visual e profissional

Você mostra ao paciente, com clareza, a condição inicial da área onde o implante será instalado.

2. Explicação detalhada da necessidade do implante

Fotos intraorais eliminam dúvidas e aumentam a taxa de aceitação do procedimento.

3. Acompanhamento fiel da cicatrização

Controle preciso de inflamações, posicionamento de cicatrizantes e adaptação.

4. Facilita a comunicação com o laboratório

Imagens nítidas ajudam na fabricação de próteses perfeitas.

5. Redução de complicações por falta de higiene

Fotos permitem mostrar ao paciente onde precisa melhorar.

6. Eleva o padrão do consultório

Tecnologia + documentação = mais credibilidade e valor percebido.

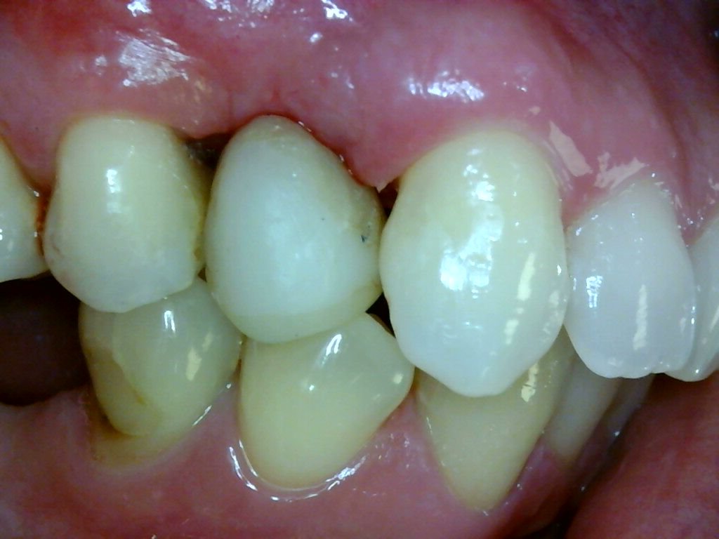
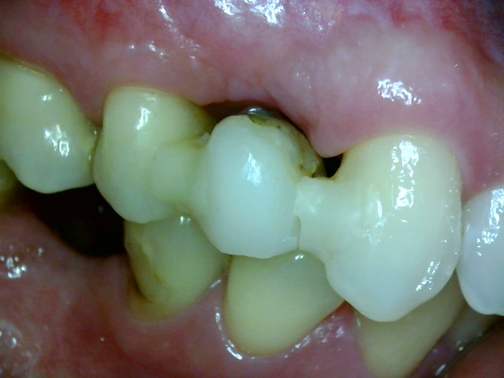
Exemplos reais de uso da SkyCam na Implantodontia

Diferenciais da SkyCam para Implantodontistas

Imagens em alta definição para avaliar tecidos moles

Perfeito para acompanhar inflamação, cicatrização e estabilidade gengival.

Cria um dossiê visual completo do paciente

Antes, durante e depois. Tudo documentado.

Aumenta a adesão ao tratamento

O paciente entende por que precisa do implante e acompanha sua própria evolução.

Melhor comunicação com protéticos e laboratórios

Compartilhamento de imagens profissionais facilita ajustes finos.

Reduz complicações

Clareza visual ajuda na detecção precoce de problemas.

Agrega valor ao tratamento premium

Tecnologia gera percepção de qualidade superior.

Veja quem usa e recomenda a SkyCam - Depoimentos de Implantodontistas

Dra. Raissa Dourado

“A SkyCam trouxe uma nova dimensão para meu trabalho. Ela é prática, fácil de usar e proporciona imagens de alta qualidade. Isso não só melhora a precisão dos meus diagnósticos, mas também torna as consultas mais eficientes.”

Dra. Natália Zago

“Uma tecnologia sem igual, equipamento único, não tem comparação. Fora que o atendimento e atenção de toda a equipe é nota 100! “

Dra. Claudia Assis

“A comunicação ficou infinitamente melhor porque o paciente consegue enxergar o que você está trazendo pra ele, o que gera uma um confiança muito malor onde ele não se sente enganado. Vale muito a pena investir na SKYCAM!”

Dr. Webber Ricci

“Desde que comecei a usar a SkyCam, meus pacientes passaram a confiar mais nas minhas recomendações. Eles podem ver as imagens claras e detalhadas dos seus próprios dentes, o que facilita a compreensão dos tratamentos necessários.”

Dr. Rodrigo Villagra

“A utilização da imagem em alta qualidade auxilia muito no dia a dia clínico, excelente ferramenta para diagnostico, auditoria e marketing.”

Dr. Renato Provenzano

“Sempre digo que é algo muito legal e necessário ao consultório, se paga no decorrer do tempo (desde quando adquiri a minha já comecei a cobrar um valor a mais pensando no modo de ela se pagar), o paciente adora e acha moderno como também gosta da transparência de mostrar o serviço que precisa ser executado, como o registro de antes e depois. Existem outras câmeras, mas não na qualidade da SKYCAM!”

Dr. Juarez Garcia

“A SkyCam mudou a forma como me comunico com meus pacientes. Com as imagens detalhadas que ela captura, posso explicar melhor as condições e os tratamentos necessários. Isso torna as consultas mais informativas e os pacientes mais satisfeitos.”

Dr. José Arbex

“Investir na SkyCam foi uma das melhores decisões para minha clínica. A qualidade das imagens impressiona os pacientes e facilita a aprovação dos tratamentos. O retorno sobre o investimento foi rápido e significativo.”

Dr. Jorge Eustáquio

“A SkyCam revolucionou meu consultório. Com ela, consigo mostrar aos meus pacientes exatamente o que vejo, o que aumenta a confiança deles nos diagnósticos. É uma ferramenta indispensável para diagnósticos precisos e precoces.”

Dr. Heitor Ferrari

“A SkyCam me permite envolver meus pacientes no processo de diagnóstico. Eles adoram ver as imagens em tempo real e entender melhor a saúde bucal deles. Isso cria um ambiente de confiança e colaboração.”

Dr. Felipe Valverde

“Com a SkyCam, consigo detectar problemas em estágios iniciais que antes passavam despercebidos. Isso significa que posso oferecer tratamentos menos invasivos e mais eficazes, melhorando os resultados e a satisfação dos pacientes.”

Dr. Anderson Bernal

“As câmeras da SKYCAM são fantásticas, modernas e de muito fácil manuseio. Odontologia preventiva é o nosso futuro, e a SKY nos dá essa possibilidade!”

A skycam é uma empresa brasileira fundada em são josé dos campos, no interior de são paulo, temos como objetivo desenvolver tecnologia no ramo odontológico, e hoje somos a maior fabricante de câmera intraoral do brasil.

Valores

A empresa valoriza a inovação através do desenvolvimento contínuo de tecnologias avançadas para a prática odontológica, enquanto se compromete com a qualidade, garantindo desempenho superior e durabilidade em seus produtos, alinhados aos mais altos padrões do setor. 

Missão

Proporcionar aos profissionais da odontologia ferramentas mais avançadas e acessíveis para melhorar a precisão diagnóstica, a eficiência do tratamento e a satisfação do paciente, através do uso de câmeras intraorais de alta qualidade e tecnologia de ponta.

Visão

Ser líder global no fornecimento de soluções inovadoras para a odontologia, transformando a experiência do diagnóstico e tratamento dentário, promovendo a saúde bucal e bem-estar dos pacientes em todo o mundo.

O tratamento com implantes precisa de confiança, precisão e previsibilidade. A SkyCam entrega tudo isso — com tecnologia e clareza visual.

 Modernize o atendimento e ofereça a melhor experiência para seus pacientes.